“颈椎反曲”----“相见不如怀念”

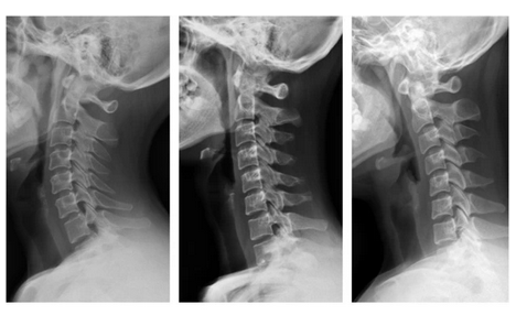
正常生理前凸 颈椎曲度变直 颈椎反曲
人类的颈椎“C”形向前的生理弧线保证了颈椎活动的高度灵活性和稳定性,但人们常常发生违背颈椎生理曲线的姿态和活动,长期伏案工作、学习的人、睡高枕的人,由于头前屈,低头的角度加大,久之,颈椎的生理曲度久会改变,起初是变直,严重时形成反曲(反弓)。颈椎反曲是一种常见颈椎异常表现,是构成颈椎病最常见的病理基础。
颈椎反曲会引起很多症状和疾病,首先最常见的是颈椎不稳定带来的颈部不适或疼痛,其次是颈椎动脉受刺激会引起大脑、小脑供血不足,再有就是神经受压,产生神经根性症状。临床上常见症状有颈肩部僵硬,后背部如负重物,后枕部或肢体麻木、恶心呕吐、头晕头痛。
如何预防和治疗“颈椎反曲”?
一、平时习惯
应该养成良好的生活、学习习惯,不卧床看书报、看电视,掌握正确的写字姿势。每低头或仰头1小时左右,需要做颈部活动,以减轻肌肉紧张度。要改善坐姿,埋头苦干时,也可间断地做运动。
二、注意用枕
用枕不应过高。枕头高度以睡醒后颈部舒适感为宜。有侧卧睡姿者睡前将枕头塑形成中凹状,以适应侧卧时颈椎的正常生理曲线。 枕芯材料不提倡使用过软的海绵枕或夏季常用的过硬的竹枕。
三、多活动
长期伏案工作者,每小时应有5—10分钟的休息时间,并作颈椎保健操,加强颈肩部肌肉的锻炼。既可缓解疲劳,又能使肌肉发达,韧度增强,从而有利于颈段脊柱的稳定性,增强颈肩顺应颈部突然变化的能力。
四、勤锻炼
适当参加力所能及的健康的体育活,防止和延缓颈椎退行性变的发生年龄。
五、常咨询
如经常出现“落枕”或颈肩臂痛,转头性眩晕,应及时到脊柱外科医生处就诊,切忌盲目推拿按摩而留下后患。